想洗牙,去医院医生说需要龈下洗(就是将牙龈翻开洗),如果不洗龈下的话,洗牙的作用就不大,听着甚是恐怖,价格也挺贵,我都怀疑这医院是不是私人承包的。难道洗牙就要将牙龈翻开么?
ntent="t" style="outline: 0px;font-size: 16px;font-family: PingFangSC-Semibold, "PingFang SC";font-weight: bold;color: rgb(19, 20, 21);line-height: 22px;letter-spacing: 2px;visibility: visible;">为什么洗牙要将牙龈翻开?
说到洗牙,就要先了解下牙结石,它是在食物残渣+细菌+口腔唾液的共同作用下钙化形成,长时间的牙结石堆积会刺激牙龈,造成牙龈红肿出血,重者可能会出现口臭,牙槽骨吸收和牙周袋形成,牙周袋很容易聚集食物残渣和细菌,造成恶性循环,最后的结果就是牙齿松动甚至脱落。
洗牙,就是处理牙结石最有效的方式,通过超声波震动震碎牙结石,达到清除牙结石减轻牙龈负担的效果。不过,简单的洗牙不能完全解决牙结石的问题,因为有些人的牙结石会长在牙龈下面,牙周袋内,常规的洗牙只能去除表面的牙结石,不能达到清洁牙齿的效果,想要彻底清除刺激物,就需要做深度清洁(深刮)。
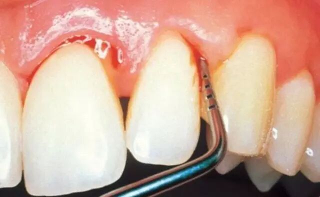
龈下刮治
如果医生建议龈下刮治,表明你的「牙周炎」已经有点严重了。刮治可以有效清除藏在牙龈里面的牙菌斑,让牙龈紧紧贴近牙齿表面,这样牙齿才会牢固。
ntent="t" style="outline: 0px;font-size: 16px;font-family: PingFangSC-Semibold, "PingFang SC";font-weight: bold;color: rgb(19, 20, 21);line-height: 22px;letter-spacing: 2px;">会痛吗?
这取决于「牙周袋深度和牙根是否平整」。若牙周袋较深或牙根不平整,有可能需要进行麻醉,从而让过程比较舒适。
若牙周袋不是很深,在刮治过程中可能只有一丁点不适感,甚至可能会没有疼痛感,你只会在牙医进行牙根刮治和根面平整时感到一点酸痛。牙石去除后,做根面平整术可以让牙龈组织有很好的机会愈合并再生修复,因此,一些深牙周袋在刮治之后会变浅。
ntent="t" style="outline: 0px;font-size: 16px;font-family: PingFangSC-Semibold, "PingFang SC";font-weight: bold;color: rgb(19, 20, 21);line-height: 22px;letter-spacing: 2px;">需多久?
牙医可能会在牙周袋内放入抗生素凝胶,或者用药物清洗牙周袋,然后再行刮治术。通常情况下,如果牙周袋较深、牙齿根面很粗糙,龈下刮治和根面平整术会分四次完成。
例如,可以先进行右上部牙齿的刮治,然后再约时间来完成剩下的四分之三。也可以分两次完成,比如,先刮治左半口或上半口,然后再进行右半口或下半口刮治。这种方法一般只麻醉一部分口腔,并有利于管理和减少就诊次数。
ntent="t" style="outline: 0px;font-size: 14px;font-family: PingFangSC-Regular, "PingFang SC";color: rgb(21, 130, 233);line-height: 24px;">PS:牙周基础治疗是非常有效的,包括:洁牙(洗牙,也就是龈上刮治)、龈下刮治(比较有疼痛感)。如果再不行的话,就要手术伺候了。如果你有牙周炎,但是你根本不想做牙周基础治疗的话,对不起,就等着牙齿掉掉吧。
最后,好好刷牙,使用牙线,定期洁牙,预防大于治疗预防大于治疗预防大于治疗,不要等到失去才知道后悔!
版权说明:本图文转摘自网络,转载仅做分享,仅供行业专业人士参考及交流,不代表本账号赞同其观点,也不代表对文中涉及到的药理或实验操作过程做过验证,不视为医疗意见或建议。本账号不对上述摘录的完整性、准确性和真实性负责。


